海扶刀联合根治手术 | 湘雅三医院肝胆胰二病区破解复杂脂肪肉瘤难题

| 撰稿:高文哲 · 徐培 · 孙吉春

近日,71岁的许先生在中南大学湘雅三医院肝胆胰外科二病区成功康复出院。此前,许先生因脂肪肉瘤术后复发,肿瘤已侵犯多脏器,被全国多家医院婉拒手术。接诊后,湘雅三医院孙吉春教授团队通过多学科诊疗(MDT)模式制定“海扶刀预处理+根治性手术”方案,成功为其切除巨大肿瘤并修补多处受侵脏器,术后患者恢复顺利。

患者许先生,数月以来饱受难忍的上腹痛之苦,还伴随严重的进食后恶心、呕吐症状,持续发展的营养不良及大剂量止痛药物亦无法缓解其疼痛。由于2024年初在其他医院已进行过一次开腹手术,且被诊断为“脂肪肉瘤”这一恶性肿瘤疾病,许先生的疾病及其本人急切的外科手术要求遭到了全国多家医院的婉拒。

fig
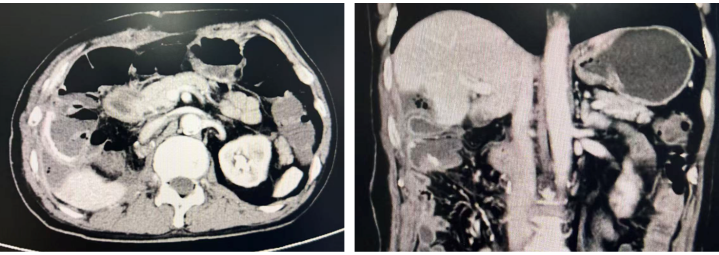
术前CT影像

肝胆胰外科二病区孙吉春教授接诊后指出,许先生的肿瘤复发进展速度很快,已经压迫甚至侵犯了肝脏、右肾、结肠、十二指肠乃至膈肌等周围器官,再次手术切除的难度和风险极大。面对这一复杂病例,医护团队迎难而上。为确保手术安全、提高治疗效果,科室启动了多学科诊疗(MDT)模式,联合放射科、泌尿外科、心胸外科、胃肠外科、麻醉科、手术室等多个科室专家进行深入讨论,再结合科室内组织的集体专家疑难病例讨论,最终制定了“先海扶刀治疗缓解肿瘤负荷并减轻疼痛症状,再尝试根治性手术”的治疗方案。

12月16日完成无创海扶治疗后,许先生的腹痛症状已经得到一定缓解。更令人欣喜的是,CT复查结果显示,肿瘤内部已经大部分出现液化、坏死,肿瘤的整体侵犯及浸润情况也较术前得到改善。海扶治疗的结果,也给孙吉春副主任医师团队在根治性手术方面带来了巨大的信心。

fig
海扶治疗后CT影像

12月29日,由孙吉春副主任医师主刀,陈浪主治医师、黄珲总住院医师配合,在余枭主任的指导下,手术有条不紊地进行。与术前评估一致,肿瘤侵犯已遍及全腹。在经历了肿瘤联合右侧肾脏、右肝后叶的部分切除,以及结肠、十二指肠、膈肌、腰大肌等多处修补后,这一巨大肿块终于被完整分离。在手术医师、麻醉医师、手术室护士团队的默契配合下,手术总历时仅五个半小时,失血量仅约250ml。

术后,患者安全返回病房,在护士长徐培所带领的护理团队的悉心照顾下,患者恢复过程顺利,生命体征平稳,因肿块侵犯而切除、修补的脏器均未出现并发症,患者术前存在的严重腹痛、营养不良症状均得到显著改善,该患者现已康复出院。

fig
手术后CT影像:肿瘤消失

孙吉春提醒,脂肪肉瘤是一种起源于脂肪组织的罕见肿瘤,常起源于腹膜后间隙这一深在部位。由于位置隐蔽,肿瘤往往在生长到很大体积、压迫周围脏器(如肠道、肾脏、大血管)时才会引发腹胀、疼痛等症状,导致早期诊断困难。确诊依赖CT、磁共振或PET-CT等影像学检查,最终需要通过穿刺或手术病理明确类型。因此,当出现持续的腹部不适、疼痛、无故消瘦等情况时,应引起警惕,及时到正规医院就诊,在有经验的医生指导下完善必要检查和检验。

余枭指出,尽管挑战巨大,但随着影像技术、海扶等无创技术的进步,以及医院多学科诊疗模式和科室外科手术技术的进步,此类手术的精准性与安全性已显著提升。通过分享这例患者的诊疗过程,我们旨在增进公众对腹膜后恶性肿瘤这一大类隐匿性疾病的认识,传递早诊早治与规范治疗的重要性,也为面临类似挑战的患者与家庭带去科学参考与信心。